
PRÁCTICA ODONTOLÓGICA
Tratamiento directo de la atrofia horizontal con implantes extracortos y estrechos (plataforma 3.0 mm) sin técnicas accesorias: un enfoque de mínima intervención

Dr. Eduardo Anitua
DDS, MD, PhD
Práctica privada en implantología oral, Eduardo Anitua Institute, Vitoria.
Investigador clínico, Eduardo Anitua Foundation, Vitoria.
University Institute for Regenerative Medicine and Oral Implantology – UIRMI (UPV/EHU-Fundación Eduardo Anitua), Vitoria.
Introducción
En la práctica clínica implantológica actual, los profesionales se enfrentan con una frecuencia creciente a situaciones de elevada complejidad que exigen no solo una sólida base técnica, sino también una continua actualización en conceptos quirúrgicos y protésicos 1-3. Esta complejidad deriva, en gran parte, de la existencia de pacientes edéntulos de larga evolución que no accedieron previamente a tratamientos con implantes, ya fuera por la falta de recursos técnicos disponibles en su momento o por haber sido descartados como candidatos debido a la severidad de la atrofia ósea. A ello se suman factores como el envejecimiento progresivo de la población y los fracasos de rehabilitaciones anteriores, que a menudo dejan lechos óseos muy comprometidos, con defectos de tipo horizontal, vertical o mixto, lo cual obliga a replantear estrategias terapéuticas constantemente 4-6.
En paralelo, la implantología —al igual que otras áreas de la medicina— se encuentra influenciada por una demanda social creciente de tratamientos más rápidos, mínimamente invasivos y con menor morbilidad. Esto ha impulsado un enfoque clínico centrado en la simplificación de los procedimientos quirúrgicos, sin comprometer la previsibilidad ni los resultados a largo plazo. En este contexto, el manejo de las atrofias óseas ha experimentado un cambio de paradigma: se ha pasado de técnicas quirúrgicas extensas, como las regeneraciones óseas guiadas, los injertos en bloque o las expansiones de cresta, al uso de implantes de menor diámetro que permiten una rehabilitación más conservadora, incluso en casos de atrofia ósea moderada o severa 7-10.
Este cambio es especialmente relevante en casos de atrofias mixtas, donde coexisten pérdidas óseas horizontales y verticales —una situación frecuente en pacientes con edentulismo prolongado—. En estos casos, los implantes de plataforma estrecha, diámetro reducido y longitud corta o extra-corta constituyen una opción terapéutica innovadora. Estas soluciones integran el concepto de “menos es más”, ya que permiten rehabilitar crestas severamente atróficas mediante un procedimiento estándar, como la colocación directa de los implantes, sin necesidad de técnicas accesorias complejas. Su aplicación favorece la reducción del tiempo quirúrgico, la morbilidad postoperatoria y el número de intervenciones, mejorando la experiencia del paciente y optimizando los recursos clínicos 11-13.
Diversos estudios han intentado clasificar los implantes según su diámetro con el objetivo de unificar los criterios de evaluación clínica y facilitar la interpretación de resultados en la literatura científica. Sin embargo, esta clasificación ha sido históricamente heterogénea: algunos autores consideran estrechos a los implantes de hasta 3,75 mm, mientras que otros los incluyen dentro de los diámetros convencionales 14-16. Para aportar mayor claridad, Al-Johany et al.14 propusieron en 2017 una clasificación basada en el diámetro y longitud, en la que se definen como implantes extra-estrechos aquellos con menos de 3 mm de diámetro, como estrechos los de 3,0 a 3,75 mm, y como estándar aquellos a partir de 3,75 mm. Según Schiegnitz16, los implantes de menos de 3 mm —agrupados frecuentemente bajo el término “mini-implantes”— constituyen el grupo de menor diámetro utilizado en rehabilitaciones implantosoportadas.
Los implantes de menos de 3 mm suelen ser de una sola pieza, debido a la dificultad técnica de incorporar una conexión interna que permita una rehabilitación protésica fiable, sin comprometer la resistencia estructural ni la biomecánica del sistema 17-18. Aunque estos dispositivos muestran tasas de supervivencia aceptables —en torno al 94,7%16—, su uso clínico está limitado por la menor versatilidad restauradora. Por el contrario, los implantes de 3,0 a 3,25 mm (tipo 2) y de 3,25 a 3,5 mm (tipo 3), ya de dos piezas, ofrecen tasas de supervivencia superiores (97,3% y 97,7%, respectivamente16), junto con mayor adaptabilidad para rehabilitaciones protésicas complejas.
La evolución de estos implantes, tanto en diseño como en materiales, ha permitido su uso cada vez más extendido en zonas con hueso limitado, reduciendo o incluso eliminando la necesidad de procedimientos complementarios como injertos óseos o expansiones. Esta tendencia se alinea con un enfoque mínimamente invasivo, en el que la selección de implantes cortos, extra-cortos y estrechos posibilita la resolución de casos complejos mediante intervenciones más simples, seguras y eficientes 5-8.
En este artículo se presenta un enfoque clínico basado en el uso de implantes de plataforma estrecha (3,0 mm) y longitud extra-corta como alternativa directa, predecible y mínimamente invasiva para el tratamiento de atrofias horizontales o mixtas, sin necesidad de recurrir a técnicas accesorias. A diferencia de muchos implantes de diámetro reducido que suelen ser de una sola pieza y limitan la versatilidad protésica, los implantes analizados en esta serie de casos son de dos piezas, con conexión interna, lo que proporciona una resistencia mecánica adecuada y permite rehabilitaciones convencionales fijas y atornilladas. El objetivo de este estudio retrospectivo es evaluar su comportamiento clínico a medio plazo, analizando las tasas de supervivencia, la estabilidad ósea periimplantaria y la aparición de complicaciones quirúrgicas o protésicas en pacientes tratados con este enfoque conservador.
Material y método
Se realizó un estudio retrospectivo con pacientes tratados de forma consecutiva en un centro clínico privado ubicado en Vitoria (España), durante el periodo comprendido entre los años 2020 y 2021. Fueron incluidos aquellos pacientes que cumplían los siguientes criterios de inclusión:
- Edad igual o superior a 18 años.
- Presencia de atrofia ósea horizontal en los sectores posteriores del maxilar y/o la mandíbula, que requiriese el abordaje mediante la colocación directa de implantes estrechos y cortos.
- Utilización de implantes de plataforma 3.0, con diámetros entre 2,5 mm y 3,0 mm, y longitudes comprendidas entre 5,5 mm y 6,5 mm.
Previo a la intervención quirúrgica, todos los pacientes recibieron profilaxis antibiótica con amoxicilina 2 g por vía oral, administrada una hora antes del procedimiento, junto con paracetamol 1 g como analgésico. Posteriormente, se continuó con un régimen antibiótico de amoxicilina 500–750 mg (ajustado al peso del paciente) cada 8 horas durante cinco días.
La planificación preoperatoria incluyó la toma de modelos diagnósticos, exploración clínica intraoral detallada y la obtención de una tomografía volumétrica dental (CBCT), posteriormente evaluada con software específico (BTI-Scan III, Biotechnology Institute, España).
Todos los procedimientos quirúrgicos fueron realizados por el mismo cirujano experimentado, y el seguimiento postoperatorio fue llevado a cabo por dos odontólogos del equipo. La técnica quirúrgica utilizada fue homogénea para todos los casos: anestesia local, elevación de colgajo mucoperióstico a espesor total y preparación del lecho implantario mediante fresado biológico a baja velocidad (50 rpm), sin irrigación externa, hasta alcanzar el diámetro correspondiente al implante planificado. El implante se coloca finalmente en posición con el motor quirúrgico prefijado a 25 Ncm terminándose la inserción del mismo con la llave de carraca manual para conocer exactamente el par de inserción. El periodo de integración de los implantes es de 3 meses para la mandíbula y de 4- 5 meses para el maxilar superior y transcurrido este se realiza la segunda fase quirúrgica y colocación del pilar protésico (Multi-im® o Unit®) con la posterior rehabilitación protésica, en función de si la prótesis es de un elemento o más de uno. Tras la carga funcional de los implantes, se estableció un protocolo de seguimiento mediante radiografías panorámicas con el objetivo de evaluar el comportamiento del lecho óseo y cuantificar la pérdida ósea crestal a lo largo del tiempo. Los datos fueron sistemáticamente registrados en un cuaderno de recogida de datos diseñado específicamente para el análisis estadístico del estudio. Las variables principales analizadas incluyeron la supervivencia del implante y la reabsorción ósea crestal a nivel mesial y distal.
Para asegurar la reproducibilidad de las imágenes radiográficas, se estandarizó la posición del paciente durante la toma de las ortopantomografías. Esto se logró utilizando un posicionador fijo que estabilizaba la glabela y el mentón, un mordedor localizado en la región interincisal y referencias anatómicas alineadas según el eje de línea media, el plano bipupilar y el plano de Frankfurt, asistidos por guías láser. Además, los pies se colocaron sobre marcas específicas en el suelo, reforzando la estandarización postural.
La estimación de la pérdida ósea marginal se realizó calibrando previamente las radiografías en función de una medida conocida: la longitud del implante. A partir de dicha calibración, se obtuvieron mediciones precisas utilizando el software Digora for Windows (SOREDEX Digital Imaging Systems), que permitió determinar la distancia real desde el hombro del implante hasta el primer punto de contacto visible entre hueso y superficie implantaria.
Para cada paciente, la radiografía tomada en el momento de la inserción de la prótesis definitiva se utilizó como imagen basal, y sirvió como referencia para comparar las mediciones posteriores y calcular la pérdida ósea crestal acumulada. La unidad de análisis estadístico fue el implante.
Para determinar la distribución de los datos recogidos, se aplicó la prueba de Shapiro-Wilk, comprobando la normalidad de la muestra antes de realizar los análisis estadísticos posteriores.
Las variables cualitativas se describieron mediante un análisis de frecuencias. Las variables cuantitativas se describieron mediante la media y la desviación estándar. La supervivencia de los implantes se calculó mediante el método de Kaplan-Meier. Se estimó también la supervivencia de las prótesis al final del seguimiento, basándonos en los criterios establecidos por Misch et al y Albrektson et al 19-21, considerándose como “superviviente” a la prótesis que:
- Permanecía en función durante todo el período de seguimiento, sin necesidad de ser retirada por fracaso.
- No presentaba movilidad detectable.
- No requería reemplazo completo por complicaciones mecánicas o biológicas.
- Permitía una adecuada función masticatoria, estética y fonética según valoración clínica.
- Ausencia de signos clínicos de infección activa o pérdida ósea progresiva que comprometiera el funcionamiento de la prótesis.
Complicaciones menores como aflojamientos de tornillos, fracturas de cerámica o desgaste oclusal fueron registradas pero no consideradas causa de pérdida protésica si eran subsanables sin necesidad de sustituir la prótesis.
Los datos fueron analizados con SPSS v15.0 para windows (SPSS Inc., Chicago, IL, USA).
Resultados
Fueron reclutados 9 pacientes en los que se insertaron 41 implantes que cumplieron con los criterios de inclusión anteriormente descritos. La edad media fue de 68,77 años (+/- 6,69) y 6 de los 9 pacientes eran de sexo femenino. De los 41 implantes, el 41,5% se insertaron en el maxilar superior, siendo la posición más frecuente para esta área anatómica la correspondiente al diente 13 (7,3%) y el 58,5% en la mandíbula, siendo la localización más frecuente en esta área para la pieza 32 (12,2%). Todas las localizaciones analizadas se muestran en la figura 1. En cuanto a las dimensiones de los implantes, el diámetro osciló entre los 2,5 y los 3,5 mm, siendo el más frecuente 3,30 mm en el 53,7% de los casos. La longitud de los implantes fue de 5,5 mm en el 36,6% y de 6,5 mm en el 63,4%. Todas las longitudes y diámetros en función de la posición del implante se detallan en la figura 2.

Figura 1. Posiciones de los implantes incluidas en el estudio.

Figura 1. Posiciones de los implantes incluidas en el estudio.
El tipo óseo más frecuente en las zonas de inserción de los implantes fue el tipo I en el 39% de los casos, siendo la media de densidad para todo el grupo de 778,78 Hu (+/- 308,56). El torque medio de inserción del grupo fue de 39,15 Ncm (+/- 17,56). La distribución de los implantes en función del torque alcanzado durante su inserción y su tipo óseo y densidad exacta se muestran en la figura 3. En ninguno de los casos incluidos en el estudio se realizaron técnicas regenerativas previas ni simultáneas a la colocación de los implantes. Sin embargo, en el 36,6% de los casos se llevó a cabo una sobrecorrección vestibular mediante la aplicación de hueso autólogo obtenido durante el fresado quirúrgico y embebido en PRGF-Endoret. No se registraron fracasos implantológicos durante el periodo de seguimiento, el cual tuvo una media de 20,90 ± 6,04 meses tras la carga funcional, lo que se traduce en una tasa de supervivencia acumulada del 100%. Todas las prótesis realizadas fueron atornilladas mediante transepitelial, siendo la supervivencia de las mismas del 100%. Unicamente se registraron 2 eventos de aflojamiento de tornillos durante el período de seguimiento.

Figura 3. Torque final de inserción de cada uno de los implantes y densidad ósea del lecho, categorizado en función del tipo óseo.
En cuanto a la pérdida ósea crestal al final del período de seguimiento fue de media de 0,40 mm en la zona mesial
(+/- 0,60) y de 0,41 mm en la zona distal (+/- 0,70).
En las figuras 4-28 se muestra uno de los casos incluidos en el estudio, donde ambos sectores posteriores mandibulares fueron rehabilitados con este tipo de implantes.


Figuras 4 y 5. Aspecto inicial de la paciente, portadora de una prótesis completa superior y una prótesis removible inferior. La prótesis inferior, genera incesantes molestias en la paciente y consulta para sustituirla por una rehabilitación con implantes.


Figuras 6 y 7. Aspecto de ambos arcos al retirar las prótesis, con una relación de clase III entre las bases óseas como podemos observar.




Figuras 8-11. Cortes seccionales del cone-beam de planificación del tercer cuadrante, donde podemos observar la extrema atrofia horizontal que encontramos en algunas localizaciones, con menos de 4 mm de anchura. Por ello, se planifican implantes de 2,5 mm en todo el cuadrante.




Figuras 12-15. En el cuarto cuadrante, la situación es muy similar, planificándose de nuevo implantes de 2,5 mm.


Figuras 16 y 17. Implantes colocados tras la cirugía.

Figura 18. Radiografía de la carga inmediata de 4 de los 5 implantes de diámetro reducido. Estos implantes son ferulizados a otros de mayor diámetro para la confección de la prótesis y esta se construye sobre transepiteliales, atornillada con barras articuladas horas después de la cirugía.




Figuras 19-22. Imágenes de la colocación de la prótesis de carga inmediata 48 horas tras la cirugía inicial. Observamos además la excelente cicatrización de los tejidos blandos en este punto.

Figura 23. Radiografía con la prótesis final en el momento de su colocación, 6 meses de la carga inicial. Como vemos la prótesis final se divide en tres sectores para lograr un mejor comportamiento biomecánico del conjunto.




Figuras 24-27. Comparativas iniciales y finales de la paciente, donde observamos el cambio experimentado en la estética y en la recuperación de parámetros oclusales.

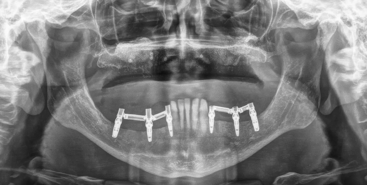
Figura 28. Radiografía panorámica de control dos años después, observándose la estabilidad lograda y el mantenimiento del hueso crestal en todos los implantes.
Discusión
La rehabilitación de maxilares atróficos mediante procedimientos regenerativos horizontales ha sido ampliamente utilizada en cirugía oral, especialmente en casos con pérdida ósea severa. No obstante, estas técnicas conllevan una morbilidad significativa, particularmente cuando se requieren injertos autólogos o reconstrucciones con mallas, tornillos y sistemas de osteosíntesis6-8. En este contexto, la colocación directa de implantes de diámetro reducido, tanto de forma aislada como en combinación con implantes de mayor calibre, se plantea como una alternativa eficaz y menos invasiva. Esta estrategia permite evitar procedimientos quirúrgicos adicionales, simplifica la intervención y amplía las posibilidades terapéuticas para profesionales que no cuentan con formación en técnicas reconstructivas avanzadas.
Recientes estudios respaldan esta línea de tratamiento. Pommer et al.12 , en un metaanálisis de 2018, analizaron implantes de longitud <7 mm y diámetro <3.5 mm, reportando una supervivencia del 95% y una reabsorción ósea marginal de aproximadamente 0,5 mm tras tres años de seguimiento. Estos hallazgos se alinean con los resultados de nuestro grupo, que previamente documentó una tasa de supervivencia del 93,4% en implantes de 3.3 mm de diámetro y longitudes de 7,5 a 8,5 mm11.En el presente estudio, los implantes de hasta 2.5 mm de diámetro mostraron una supervivencia del 100% y una pérdida ósea crestal marginal mínima tras dos años. Atribuimos estos resultados a la aplicación de un protocolo quirúrgico riguroso, guiado por la densidad ósea y el uso de fresado biológico a bajas revoluciones, así como al reducido diámetro de la plataforma (3 mm), que permite una mejor conservación del hueso periimplantario. Este aspecto es especialmente relevante en casos de atrofia extrema, donde el hueso remanente, con menor vascularización, es más susceptible a sufrir isquemia por sobrecompresión, lo que podría traducirse en una pérdida ósea crestal acelerada22-23.
Cabe destacar que, a pesar del reducido diámetro, estos implantes han demostrado un comportamiento protésico predecible y estable, integrándose en rehabilitaciones convencionales sin comprometer la funcionalidad o la estética. Además, el presente protocolo proporciona resultados clínicos equiparables a los obtenidos mediante técnicas regenerativas más invasivas, con una menor morbilidad y mayor confort postoperatorio para el paciente.
Conclusiones
Los implantes de diámetro reducido, incluyendo aquellos de hasta 2,5 mm con plataforma de 3 mm, se han mostrado como una alternativa predecible y eficaz para la rehabilitación de crestas óseas con atrofia horizontal y mixta, evitando la necesidad de técnicas regenerativas complejas. Su excelente comportamiento clínico y radiográfico, junto con una tasa de supervivencia del 100% en el presente estudio, sugiere que, cuando se emplean bajo protocolos quirúrgicos cuidadosos y guiados por la densitometría ósea, además de una adecuada distribución biomecánica, estos implantes pueden integrarse con éxito en tratamientos convencionales. Esta estrategia representa un enfoque menos invasivo, con baja morbilidad y resultados altamente satisfactorios tanto desde el punto de vista quirúrgico como prostodóntico.
Bibliografía
- Gupta R, Gupta N, Weber, DDS KK. Dental Implants. 2023 Aug 8. In: StatPearls [Internet]. Treasure Island (FL): StatPearls Publishing; 2025 Jan–. PMID: 29262027.
- Buser D, Sennerby L, De Bruyn H. Modern implant dentistry based on osseointegration: 50 years of progress, current trends and open questions. Periodontol 2000. 2017 Feb;73(1):7-21.
- Nevins M. Implant dentistry: a continuing evolution. Int J Periodontics Restorative Dent. 2014;34 Suppl 3:s7.
- Beresford D, Klineberg I. A Within-Subject Comparison of Patient Satisfaction and Quality of Life Between a Two-Implant Overdenture and a Three-Implant-Supported Fixed Dental Prosthesis in the Mandible. Int J Oral Maxillofac Implants. 2018 Nov/Dec;33(6):1374-1382.
- Hof M, Tepper G, Semo B, Arnhart C, Watzek G, Pommer B. Patients’ perspectives on dental implant and bone graft surgery: questionnaire-based interview survey. Clin Oral Implants Res. 2014 Jan;25(1):42-5.
- Pommer B, Mailath-Pokorny G, Haas R, Busenlechner D, Fürhauser R, Watzek G. Patients’ preferences towards minimally invasive treatment alternatives for implant rehabilitation of edentulous jaws. Eur J Oral Implantol. 2014 Summer;7 Suppl 2:S91-109.
- Gibney JW. Minimally invasive implant surgery. J Oral Implantol. 2001;27(2):73-6.
- Zadeh HH, Daftary F. Minimally invasive surgery: an alternative approach for periodontal and implant reconstruction. J Calif Dent Assoc. 2004 Dec;32(12):1022-30.
- Silverstein L, Shatz PC, Kurtzman G. Minimally invasive implant procedures. Pract Proced Aesthet Dent. 2008 Jun;20(5):310-2.
- Haque AU, Verma UP, Singh P. Multidisciplinary full-mouth rehabilitation using minimally invasive dental implant therapy: a report on three different clinical scenarios. BMJ Case Rep. 2024 Jun 24;17(6):e259781.
- Antiua E, Escuer V, Alkhraisat MH. Short Narrow Dental Implants versus Long Narrow Dental Implants in Fixed Prostheses: A Prospective Clinical Study. Dent J (Basel). 2022 Mar 4;10(3):39.
- Pommer B, Mailath-Pokorny G, Haas R, Buseniechner D, Millesi W, Fürhauser R. Extra-short (< 7 mm) and extra-narrow diameter (< 3.5 mm) implants: a meta-analytic literature review. Eur J Oral Implantol. 2018;11 Suppl 1:S137-S146.
- Kovacic I, Persic S, Kranjcic J, Lesic N, Celebic A. Rehabilitation of an Extremely Resorbed Edentulous Mandible by Short and Narrow Dental Implants. Case Rep Dent. 2018 Dec 20;2018:7597851.
- Al-Johany SS, Al Amri MD, Alsaeed S, Alalola B. Dental Implant Length and Diameter: A Proposed Classification Scheme. J Prosthodont. 2017 Apr;26(3):252-260.
- Upendran A, Gupta N, Salisbury HG. Dental Mini-Implants. 2021 Aug 14. In: StatPearls [Internet]. Treasure Island (FL): StatPearls Publishing; 2022 Jan–.
- Schiegnitz E, Al-Nawas B. Narrow-diameter implants: A systematic review and meta-analysis. Clin Oral Implants Res. 2018 Oct;29 Suppl 16:21-40.
- Barbosa FT, Zanatta LCS, de Souza Rendohl E, Gehrke SA. Comparative analysis of stress distribution in one-piece and two-piece implants with narrow and extra-narrow diameters: A finite element study. PLoS One. 2021 Feb 4;16(2):e0245800
- Poole SF, Ribeiro RF, Gomes ÉA. Internal and Marginal Fit and Fracture Strength of Narrow Diameter Dental Implant-Abutment Assembly. Braz Dent J. 2020 Mar-Apr;31(2):127-134.
- Misch CE, Perel ML, Wang HL, et al. Implant success, survival, and failure: The International Congress of Oral Implantologists (ICOI) Pisa Consensus Conference. Implant Dent. 2008;17(1):5–15. doi:10.1097/ID.0b013e3181676059
- Albrektsson T, Zarb G, Worthington P, Eriksson AR. The long-term efficacy of currently used dental implants: A review and proposed criteria of success. Int J Oral Maxillofac Implants. 1986;1(1):11–25.
- Papaspyridakos P, Chen CJ, Chuang SK, Weber HP, Gallucci GO. A systematic review of biologic and technical complications with fixed implant rehabilitations for edentulous patients. Int J Oral Maxillofac Implants. 2012;27(1):102–110.
- Baggi L, Cappelloni I, Di Girolamo M, Maceri F, Vairo G. The influence of implant diameter and length on stress distribution of osseointegrated implants related to crestal bone geometry: a three-dimensional finite element analysis. J Prosthet Dent 2008;100:422–31.
- Anitua E, Fernandez-de-Retana S, Anitua B, Alkhraisat MH. Long-Term Retrospective Study of 3.0-mm-Diameter Implants Supporting Fixed Multiple Prostheses: Immediate Versus Delayed Implant Loading. Int J Oral Maxillofac Implants. 2020 Nov/Dec;35(6):1229-1238.
Suscríbete a nuestra Newsletter
Mantente al día de las últimas novedades del mundo dental
Información legal
Reponsable: rIL Estudio, S.L.
Finalidad: Consentimiento expreso del interesado (Art. 6.1.a RGPD).
Destinatarios: Los datos no se cederán a terceros, salvo obligación legal o los proveedores de servicios de email marketing que actúan como encargados del tratamiento (ej. Mailrelay, Mailchimp, Brevo, etc.) bajo acuerdos de confidencialidad.
Derechos: Acceder, rectificar y suprimir los datos, así como otros derechos, como se explica en la información adicional.
Información Adicional: Puedes consultar la información detallada en nuestra Política de Privacidad.